Korony zębowe
Bardzo ważną rolę w utrzymaniu zdrowego uśmiechu ma prawidłowa higiena jamy ustnej, która w ogromnej większości jest uzależniona od domowej, indywidualnej dbałości o stan czystości zębów.

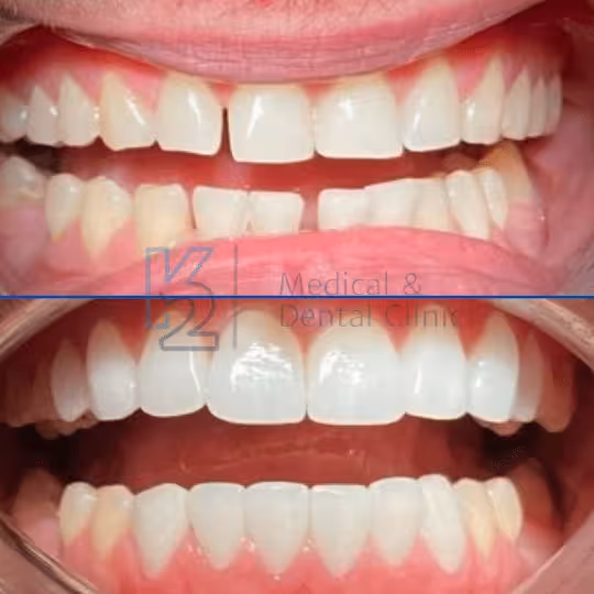
Korony na zęby to jedno z najczęściej stosowanych rozwiązań w przypadku znacznego zniszczenia zębów, ich złamania, skruszenia, przebarwienia lub braku zęba (zębów) – korony oparte na implantach. Korony mogą zastępować zęby, poprawiać ich estetykę, kolor oraz poprawiać funkcjonalność.
Korony na zęby przypominają wyglądem nakładki, imitujące pojedyncze zęby. Ich ścianki mają grubość 1 – 2 milimetra i wykonywane mogą być z różnych materiałów. Pod tym względem wyróżnia się korony: pełnoceramiczne, porcelanowe na podbudowie z metalu lub tlenku cyrkonu czy też tymczasowe – wykonane z akrylu.
Korony zębowe montowane są na implantach lub wcześniej oszlifowanych zębach pacjenta. W obu tych przypadkach pełne leczenie odbywa się podczas kilku wizyt, przy czym założenie implantów jest znacznie bardziej długotrwałym procesem. Zabiegi założenia koron przeprowadza się w znieczuleniu miejscowym.
Współczesna stomatologia daje szeroki wachlarz możliwości, co sprawia, że rodzaj korony zawsze dostosowany jest do potrzeb pacjenta. Korony są trwałe, nie ulegają samoistnym uszkodzeniom ani przebarwieniom, są dobrze tolerowane przez organizm, a do tego są estetyczne. Wyglądem doskonale stapiają się z naturalnymi zębami.
Korony na zęby – wskazania
Korony zębowe zakładane są w przypadku zębów, które zostały bardzo mocno zniszczone, przebarwione, są martwe, np. po leczeniu kanałowym, z wrodzonym brakiem szkliwa, a także w przypadku zębów uszkodzonych oraz w przypadku braku zębów (wówczas zakładanie korony jest końcowym etapem leczenia implantologicznego). Korony można wykorzystywać również, gdy zęby są tak słabe (np. po leczeniu kanałowym), że istnieje ryzyko ich złamania podczas normalnego żucia.
Korona na zęba – przeciwwskazania
Korony zębowe nie są zakładane w takich przypadkach, jak:
- próchnica: jest to przeciwwskazanie o charakterze względnym. Po wyleczeniu zębów można przystąpić do zakładania koron. W zależności od sposobu i inwazyjności leczenia próchnicy trzeba będzie odczekać odpowiedni okres (w przypadku leczenia kanałowego może to być od kilku dni do paru tygodni);
- zmiany w obrębie wierzchołka korzenia: to sytuacja, w której próchnica była tak zaawansowana, że ząb obumarł i bakterie spowodowały zmiany w kości, w zakresie tkanek okołowierzchołkowych;
- zbyt zniszczone zęby: ząb, na którym umieszcza się koronę musi wystawać odpowiednio wysoko ponad dziąsło. Jeśli wysokość oszlifowanego filaru zęba nie jest wystarczająca to niezbędne jest wydłużenie korony klinicznej i wykonanie wkładu koronowo-korzeniowego lub wzmocnienie zęba włóknem szklanym cementowanym do korzenia;
- zęby żywe u osób młodych: nie przeprowadza się takich zabiegów ze względu na zbyt duże ryzyko zranienia komory miazgi, które skutkowałoby koniecznością leczenia kanałowego.
Przygotowanie do zabiegu założenia korony na zęba
Proces leczenia zaczyna się od konsultacji ze specjalistą, najczęściej jest to lekarz protetyk. Podczas takiej wizyty przeprowadza się wywiad z pacjentem oraz ocenia stan uzębienia. Plan kuracji zawsze dostosowany jest indywidualnie do potrzeb pacjenta. Stomatolog powinien dodatkowo zlecić wykonanie zdjęć rentgenowskich(punktowe, panoramiczne lub 3D).
W zależności od tego, na co mają zostać nałożone korony, kolejnym krokiem może być wszczepienie implantów przez specjalistę chirurga (ten proces może trwać do kilku miesięcy) lub przygotowanie naturalnych zębów poprzez ich oszlifowanie. W takim przypadku ich powierzchnia zostaje zmniejszona o około 1 – 2 mm z każdej strony, co odpowiada grubości ściany korony. Ten zabieg wykonuje się w znieczuleniu miejscowym.
Kolejnym krokiem jest wykonanie wycisków, które potem wysyła się do laboratorium. Równocześnie zakładana jest korona tymczasowa, która chroni oszlifowany ząb.
Jak wygląda zabieg założenia koron na zęby?
Gdy gotowe są ostateczne korony, na osobnej wizycie, można ją przymierzyć, dopasować i zacementować.
Rodzaje koron
Obecnie do wyboru mamy szereg możliwości :
- korony cyrkonowe: korona cyrkonowa wykonywana jest na podbudowie z tlenku cyrkonu, który następnie jest licowany ultracienką warstwą porcelany. To materiał łączący w sobie właściwości metalu i porcelany. Korona cyrkonowa jest niezwykle trwała, twarda, a przy tym estetyczna. Jej kolor można dostosowywać do odcienia naturalnych zębów. Korona cyrkonowa wycinana jest przez specjalną frezarkę i projektowana komputerowo – CAD CAM. Materiał ten jest dobrze tolerowany przez organizm – nie powoduje alergii;
- korony porcelanowe: korona porcelanowa wyróżnia się przede wszystkim trwałością połączoną z estetyką. Wygląda bardzo naturalnie, a do tego jest bardzo twarda i wytrzymała. Popularnym wariantem jest korona porcelanowa na metalu (stopie Co-Cr). Jest ona dość elastyczna, dzięki czemu rzadziej pęka. Korona porcelanowa na metalu może jednak powodować reakcje uczuleniowe spowodowane alergią na metal (obecnie rzadziej z powodu wyeliminowania w składzie niklu). Jest ona oczywiście gorsza estetycznie niż cyrkonowa ze względu na nieprzenikalność świetlną związaną z metalową podbudową;
- korony pełnoceramiczne: korona pełnoceramiczna wygląda bardzo naturalnie, przypomina naturalne zęby. Ponadto korona pełnoceramiczna nie wywołuje reakcji uczuleniowej. Jest bardzo twarda (jednak mniej trwała niż cyrkonowa), ale może przez to ścierać zęby przeciwstawne.Co istotne, jedną z opcji przy wykonywaniu koron porcelanowych, bez względu na rodzaj wybranej podbudowy, jest możliwość indywidualnego ich podmalowania, co pozwala na dostosowanie jej barwy do naturalnych zębów;
- korona tymczasowa: nakładana jest na okres, w którym pacjent oczekuje na ostateczną pracę protetyczną. Najczęściej wykonuje się ją z akrylu lub specjalnego kompozytu, które nie są bardzo trwałymi materiałami, jednakże doskonale spełniają swoje zadanie – chronią oszlifowany ząb przed uszkodzeniem, nadwrażliwością i tymczasowo maskują ubytek.
Które korony na zęby są najlepsze? Nie ma tu jednoznacznej odpowiedzi. Wszystko uzależnione jest od wielu okoliczności. Dlatego konkretne rozwiązanie jest każdorazowo dostosowywane do indywidualnych potrzeb pacjenta.
Korony na zęby – efekty
Korony zębowe dają możliwość zatuszowania wielu defektów – braku jednego lub kilku zębów, jak również odbudowy złamanych lub bardzo zniszczonych zębów. Co istotne, rezultaty są permanentne i bardzo naturalne. Współcześnie stosowane rozwiązania sprawiają, że wyglądem korony zębowe idealnie stapiają się z naturalnymi zębami.
Korona zęba – po zabiegu
Po zabiegu założenia korony zębowej można wrócić do codziennych zajęć. Przez kilka dni można odczuwać delikatny dyskomfort, gdyż korona będzie miała inny kształt niż poprzedni ząb (lub będzie wypełniać jego brak). Może pojawić się także nadwrażliwość, która jednak powinna ustąpić po kilku dniach lub tygodniach.
Ważnym aspektem jest odpowiednie pielęgnowanie koron. Traktować należy je tak samo, jak naturalne zęby. Oznacza to konieczność ich regularnego czyszczenia – po każdym posiłku. W tym celu wystarczy stosować zwykłą szczoteczkę do zębów oraz pasty do zębów. Konieczne jest również nitkowanie lub używanie irygatora.
Po założeniu koron należy nadal odbywać regularne kontrole stomatologiczne co 6 miesięcy.
FAQ
1. Co to jest korona zębowa?
Korony na zęby można nazwać nakładkami, które cementuje się na implantach lub wcześniej oszlifowanych zębach Pacjenta. Swym wyglądem przypominają one naturalne zęby. Stosowane są w sytuacji znacznego zniszczenia zębów, złamania zęba, skruszenia, przebarwienia lub w przypadku braku zęba – korony oparte na implantach. Korony mogą być wykonane z różnych materiałów: pełnej ceramiki, porcelany na podbudowie z metalu lub tlenku cyrkonu, kompozytu, akrylu (korony tymczasowe). Można wykonać korony w Gdańsku i Gdyni w K2 Dental.
2. Korona zęba jak wygląda?
Korona swym wyglądem przypomina prawdziwy ząb i doskonale stapia się z naturalnymi zębami. To rodzaj nakładki o grubości 1-2 mm, wykonany z ceramiki, porcelany, tlenku cyrkonu lub w przypadku koron tymczasowych z akrylu lub kompozytu.
3. Ile kosztuje koronka na jednego zęba?
Najtańszym rozwiązaniem są korony porcelanowe, których cena zaczyna się od 840 zł. Korony pełnoceramiczne i cyrkonowe to już wydatek około 1500 zł. Tańsze korony kompozytowe lub akrylowe w dzisiejszej stomatologii są używane jako korony tymczasowe.
4. Ile trwa założenie korony na zęba?
Proces szlifowania zęba oraz pobrania wycisków trwa od kilkunastu do kilkudziesięciu minut, po czym Pacjentowi zakłada się koronę tymczasową, a wyciski przesyłane są do laboratorium. Po około tygodniu laboratorium dostarcza gotowe korony ceramiczne, które następnie lekarz stomatolog sprawdza, dopasowuje i cementuje.
5. Korona na metalu czy cyrkonie?
Korony porcelanowe wiążą się z ograniczeniami estetycznymi związanymi z brakiem przepuszczalności (przezierności) dla światła, dlatego też szczególnie w odcinkach przednich, używane są obecnie korony pełnoceramiczne lub oparte na tlenku cyrkonu dzięki, którym można uzyskać przezierność i głębię koloru, które wpływają na estetykę i nadają koronom naturalny wygląd.











